Zubní plak je dnes prokazatelně nejvýznamnějším faktorem vzniku dvou nejčastějších chorob lidí a to jsou zubní kaz a zánět dásní. Plak obsahuje velké množství bakterií. Jejich působením se snižuje pH na povrchu zubů, které urychluje průběh uvedených chorob.
Ostatní faktory jako dědičnost nebo strava hrají u většiny lidí menší roli i když naše obvyklá strava obsahuje značný podíl látek, které podporují rychlejší tvorbu plaku a chybí jí významnější stírací efekt. Přítomnost plaku je pro vznik onemocnění rozhodující. Nebudeme-li mít plak, nebudeme mít ani zubní kaz.
Je tedy nutné plak v pravidelných intervalech z povrchu zubů mechanicky stírat. K důkladné očistě a tedy prevenci je nutné zbavit plaku všechny plošky zubů včetně mezizubních prostorů.
Čistý zub se nezkazí!
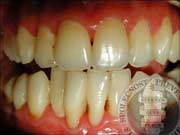
Nový pacient, vyšetření, přítomné značné množství plaku.

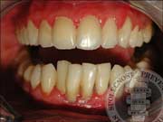
Stav po 6-ti dnech po úpravě ústní hygieny.

